Coronavirus Survivor In Us Receives Double Lung Transplant

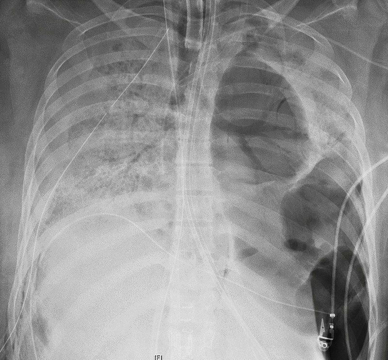
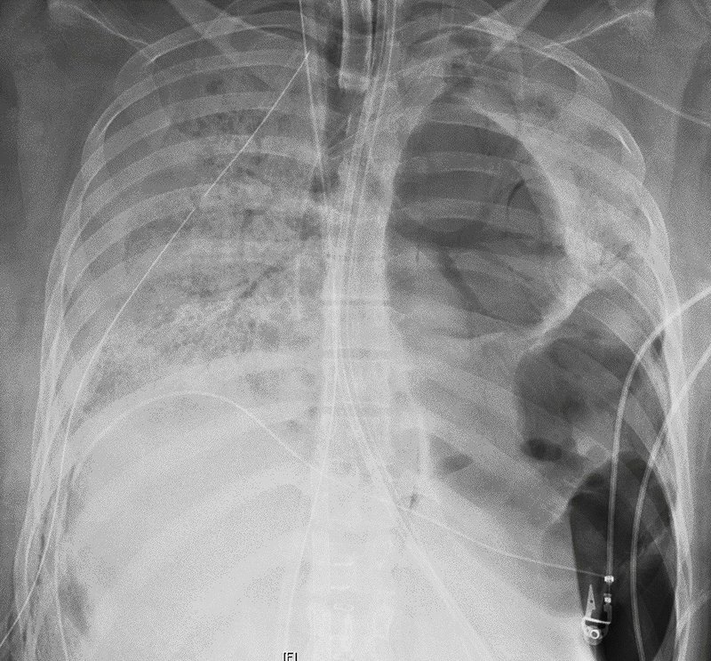
This X-ray image provided by Northwestern Medicine in June 2020 shows the chest of a COVID-19 patient before she received a new set of lungs because of severe lung damage from the coronavirus, at Northwestern Memorial Hospital in Chicago. (Northwestern Medicine via AP)

Surgeons in Chicago have given a new set of lungs to a young woman with severe lung damage from the coronavirus.

Northwestern Medicine on Thursday announced the procedure, which took place last Friday. Only a few other COVID-19 survivors, in China and Europe, have received lung transplants.

The Chicago patient is in her 20s and was on a ventilator and heart-lung machine for almost two months before her operation at Northwestern Memorial Hospital.

The 10-hour procedure was challenging because the virus had left her lungs full of holes and almost fused to the chest wall, said Dr. Ankit Bharat, who performed the operation.

She remains on a ventilator while her body heals but is well enough to visit with family via phone video and doctors say her chances for a normal life are good.

�We are anticipating that she will have a full recovery,� said Dr. Rade Tomic, medical director of the hospital�s lung transplant program.

The patient was not identified but Bharat said she had recently moved to Chicago from North Carolina to be with her boyfriend.

She was otherwise pretty healthy but her condition rapidly deteriorated after she was hospitalized in late April. Doctors waited six weeks for her body to clear the virus before considering a transplant.

Lungs accounted for just 7% of the nearly 40,000 U.S. organ transplants last year. They are typically hard to find and patients often wait weeks on the transplant list.

The Chicago patient was in bad shape, with signs that her heart, kidneys and liver were beginning to fail, so she quickly moved up in line, Bharat said.

(AP)

Leave a Reply

Popular Posts