Organ Transplant Patient In Michigan Dies From Rabies

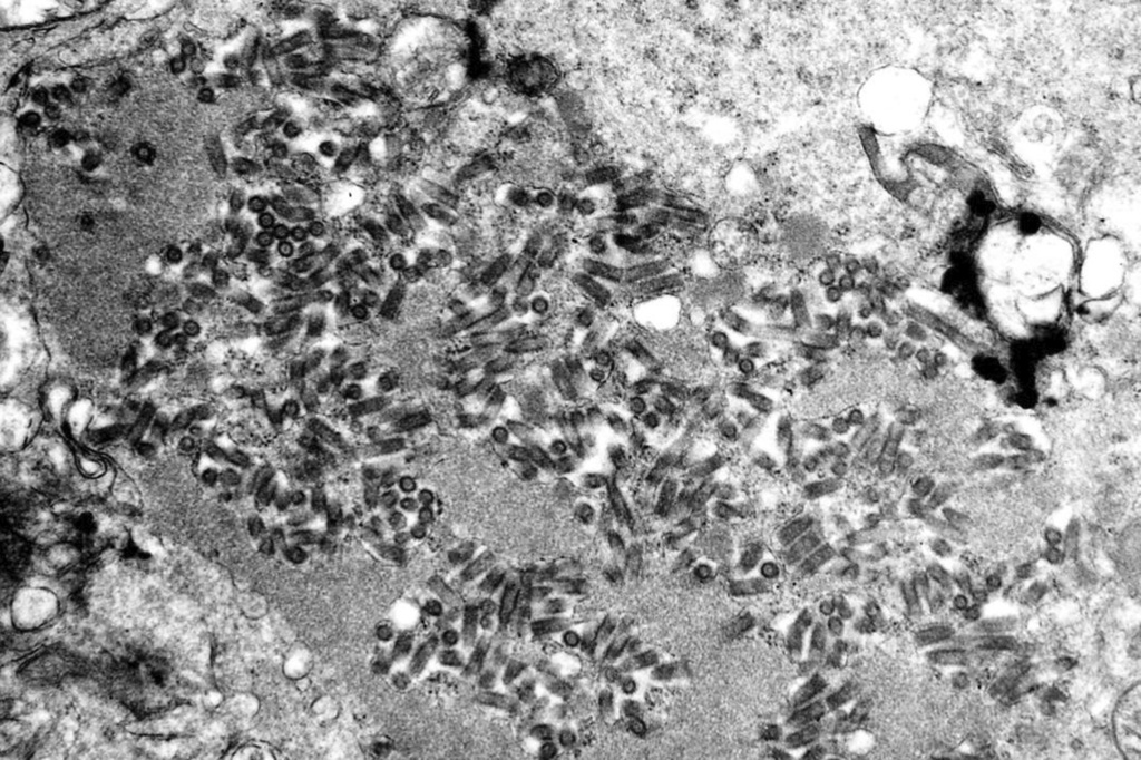
FILE - This undated electron microscope image provided by the Centers for Disease Control and Prevention shows rabies virions, dark and bullet-shaped, within an infected tissue sample. (F. A. Murphy/CDC via AP, File)

A Michigan resident died earlier this year after contracting rabies from an organ transplant, health officials said.

The patient had the organ transplanted at a hospital in Ohio in December and died in January, Michigan Department of Health and Human Services spokesperson Lynn Sutfin said.

A subsequent investigation that also involved the U.S. Centers for Disease Control and Prevention and the Ohio Department of Health determined the patient got rabies from the donated organ. Sutfin did not specify which organ was transplanted.

Rabies is a deadly viral disease that can spread to humans through contact with saliva or blood from infected animals. As rabies progresses, it worsens in severity from flu-like symptoms to hallucinations and difficulty swallowing. By the time symptoms appear, the illness is almost always fatal.

According to the CDC, fewer than 10 people die annually from rabies in the U.S. And it happening due to organ transplants is very rare, but not unheard of; in 2013, a patient who received a kidney transplant died from rabies.

The screening process for potential organ donors in the U.S. includes questions about changes in donors� mental states and testing for viruses and infections.

Sutfin stressed there is no threat to the general public.

�Health officials worked together to ensure that people, including health care providers, who were in contact with the Michigan individual were assessed for possible exposure to rabies,� she said, adding that post-exposure care was provided where necessary.

(AP)

Leave a Reply

Popular Posts